Dr. med. univ. & Dr. med. dent. Christian Senger

Facharzt für Zahn-, Mund- & Kieferheilkunde

Referenzbeispiele

"Where the rubber meets the road"

Ästhetische Zahnheilkunde / der komplexe Fall

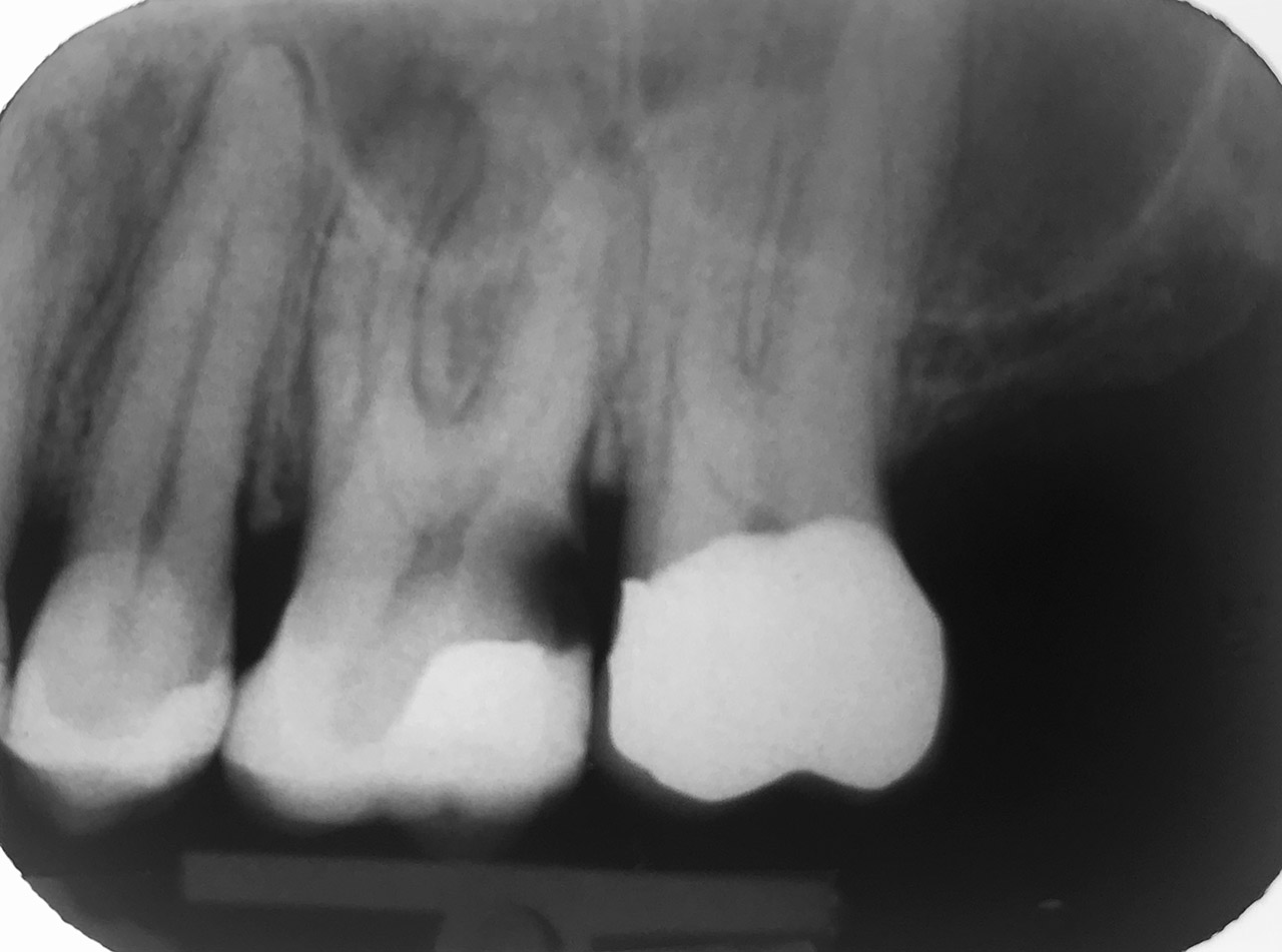
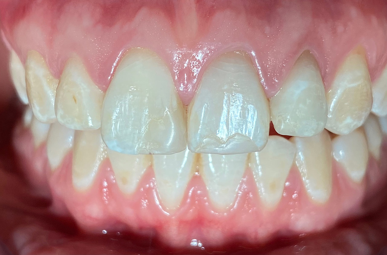
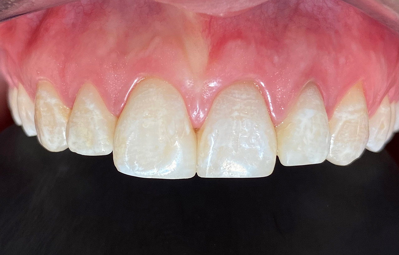
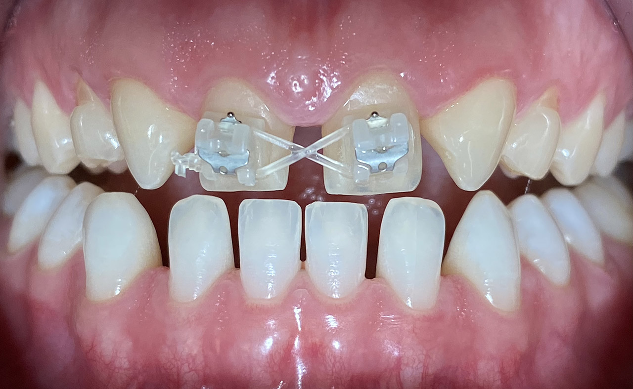
Aplasien/Nichtanlagen, dadurch bleibende Milchzähne, Diasteme/Zahnlücken,
Bleaching/Bleichen, Positionierung der Zähne/Kieferorthopädie (Dr. Maija Eltz), Verblendung mit Veneers/Keramikschalen.

Vorher Nachher

Vorher / Nachher Vergleich mit Slider

Ästhetische Zahnheilkunde / 02
Ästhetische Zahnheilkunde / 12
Ästhetische Zahnheilkunde / 04
Ästhetische Zahnheilkunde / 06
Ästhetische Zahnheilkunde / 07
Ästhetische Zahnheilkunde / 10
Ästhetische Zahnheilkunde / 14
Ästhetische Zahnheilkunde / 01
Ästhetische Zahnheilkunde / 11

Internes und Externes Bleaching (Bleichen):

Nach Unfall mit E-Scooter unbefriedigendes Ergebnis der Erstversorgung (alio loco). Therapievorschlag: Stiftzähne?

Unsere minimalinvasive Therapie: Revision der Wurzelbehandlungen, danach internes und externes Bleaching, adhäsive Kunststoffüllungen in Schichttechnik. (Titel meiner Diplomarbeit 2003 “Die Vermeidung von Extraktion und Wurzelspitzenresektion durch zeitgemässe Endodontie in der Privatpraxis”)

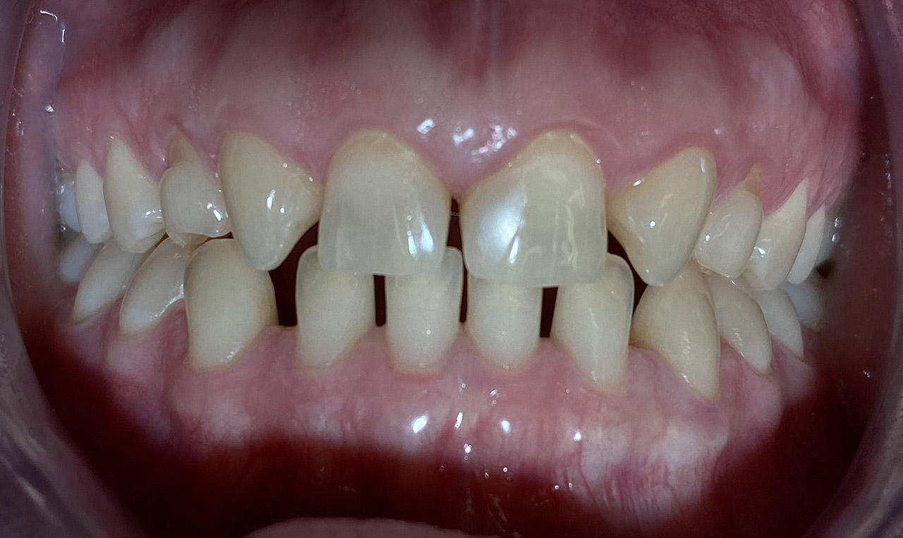
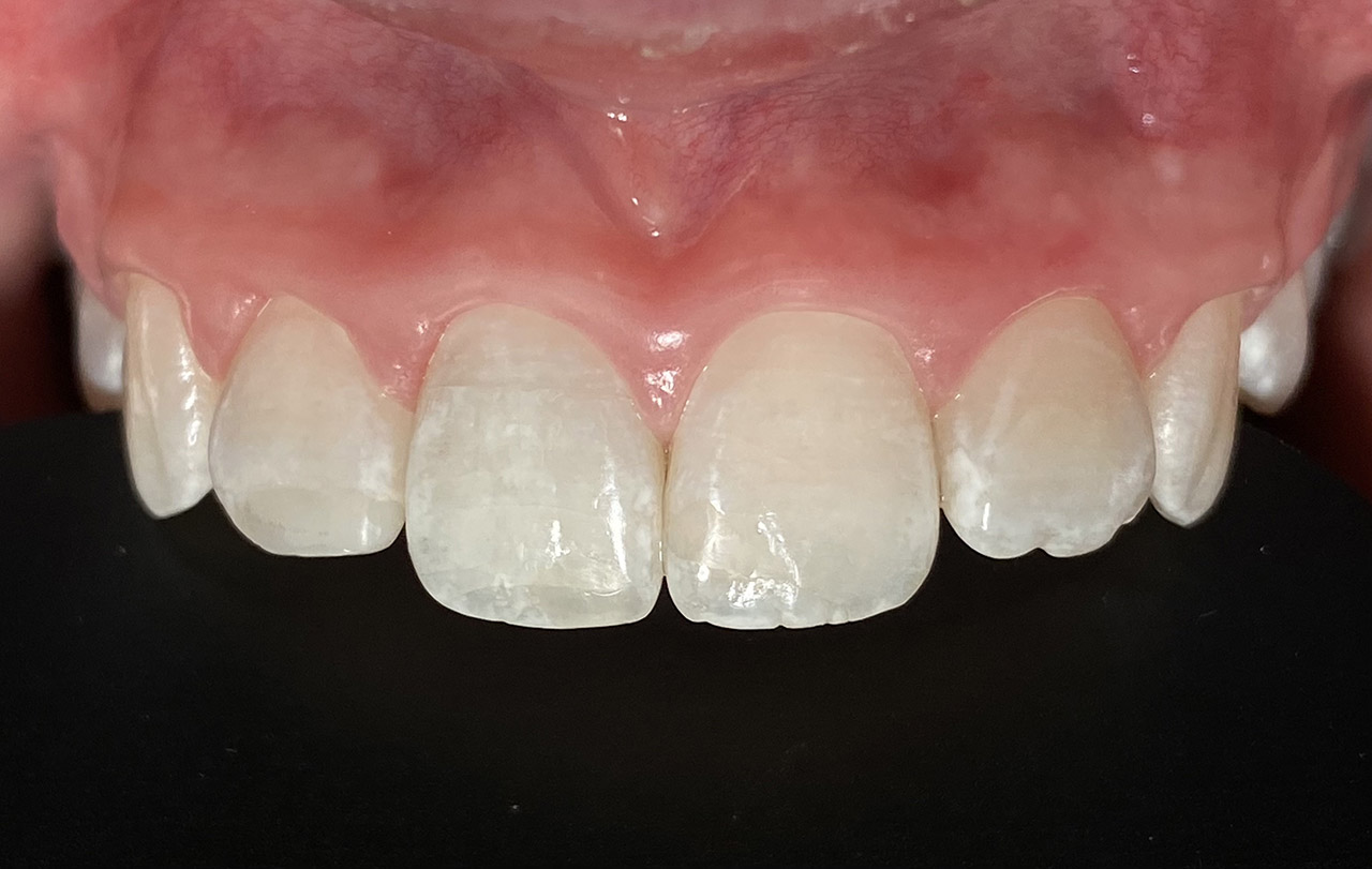
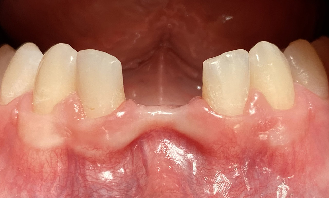
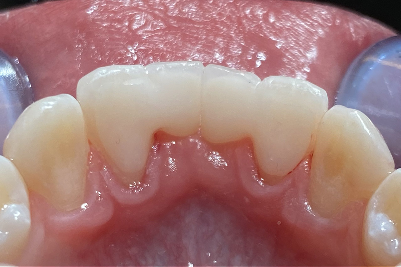
Klebebrücken bei Zahnaplasie (Nichtanlage):

Vorbehandlung (Dr. Ernst Köle): Kieferorthopädischer ”Platzhalter mit provisorischem Zahn”.
Minimalinvasive Therapie: 2 keramikverblendete Klebebrücken (“Zirkonflügerl") adhäsiv zementiert.
Konservativ ohne Knochenaufbau und Schleimhauttransplantat.

Klebebrücken / 01
Klebebrücken / 07
Klebebrücken / 08
Klebebrücken / 09
Klebebrücken / 03
Klebebrücken / 02
Klebebrücken / 06
Klebebrücken / 05

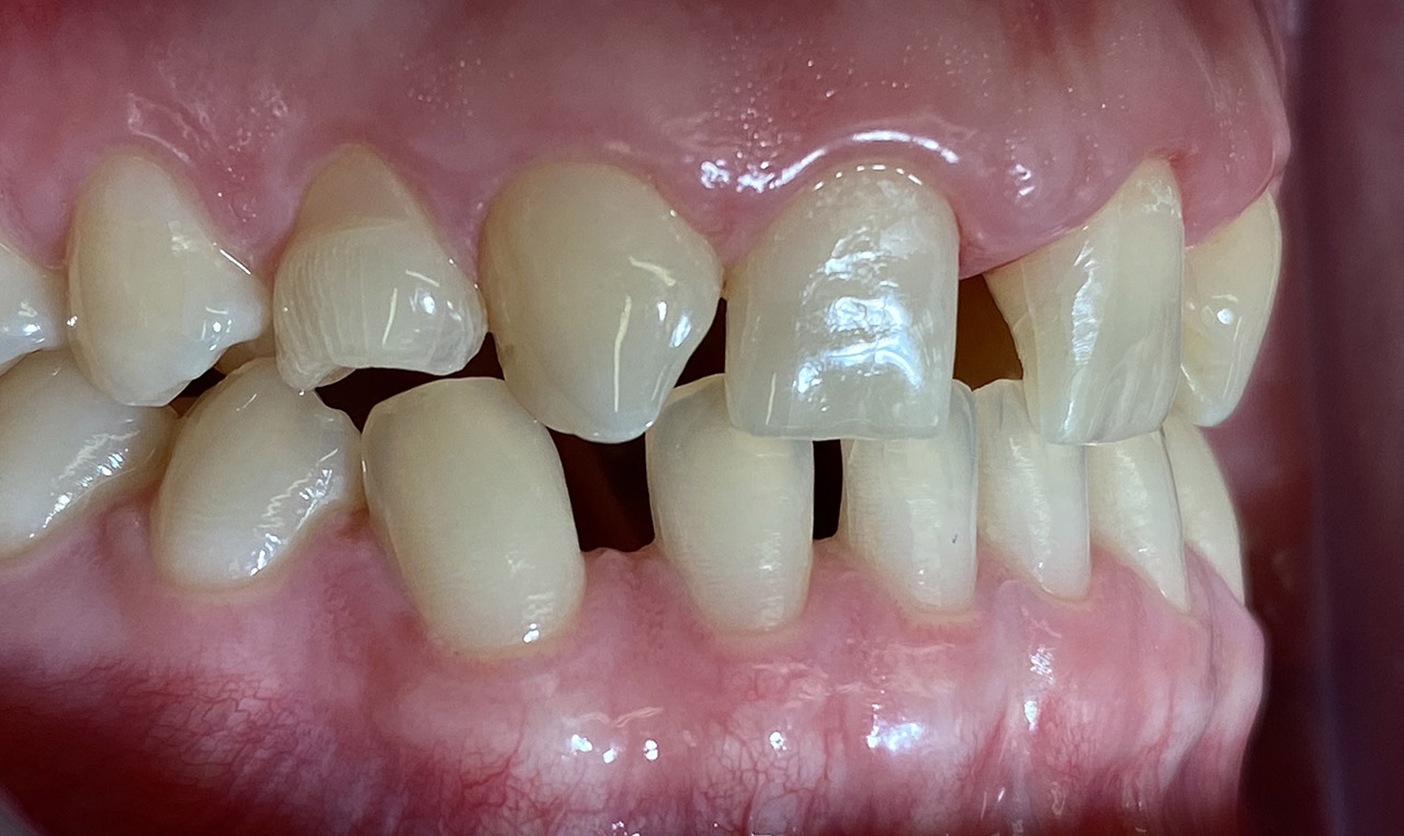
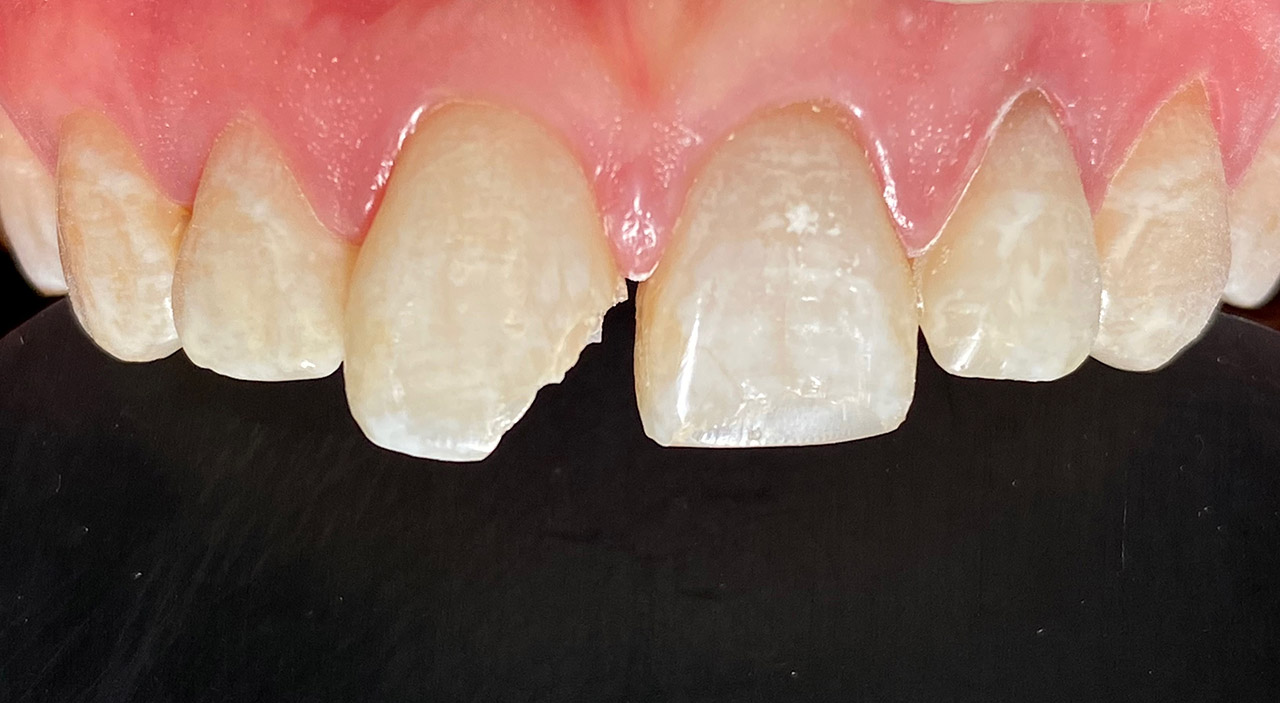
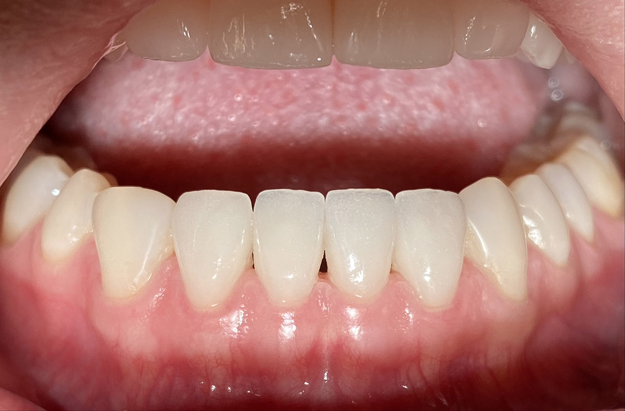
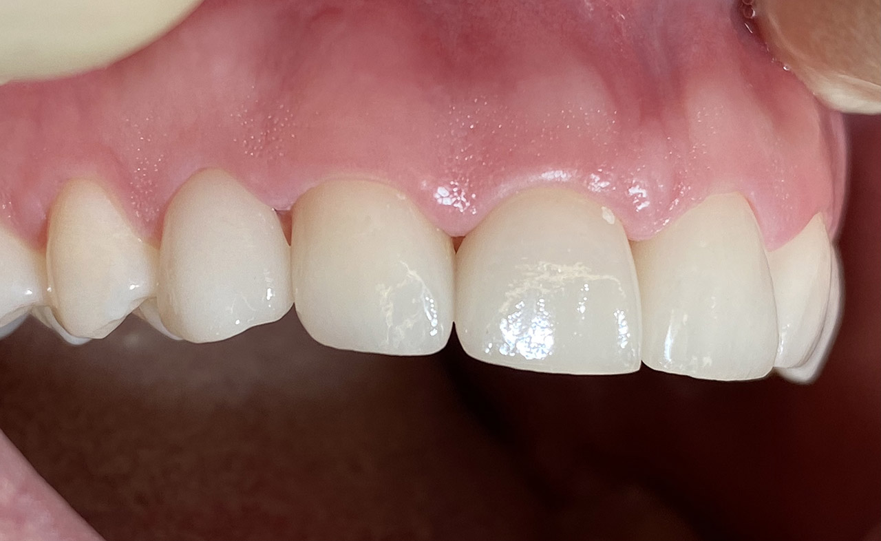
Traumatologie

Zahn 11 nach Sturz frakturiert, Pulpa nicht eröffnet, Zahnstück adhäsiv wiederbefestigt, Zahn konnte vital erhalten werden.

Vorher Nachher

Vorher- / Nachher-Vergleich mit Slider

Röntgenaufnahme
Zahnstück
Vorher Nachher

Vorher- / Nachher-Vergleich mit Slider

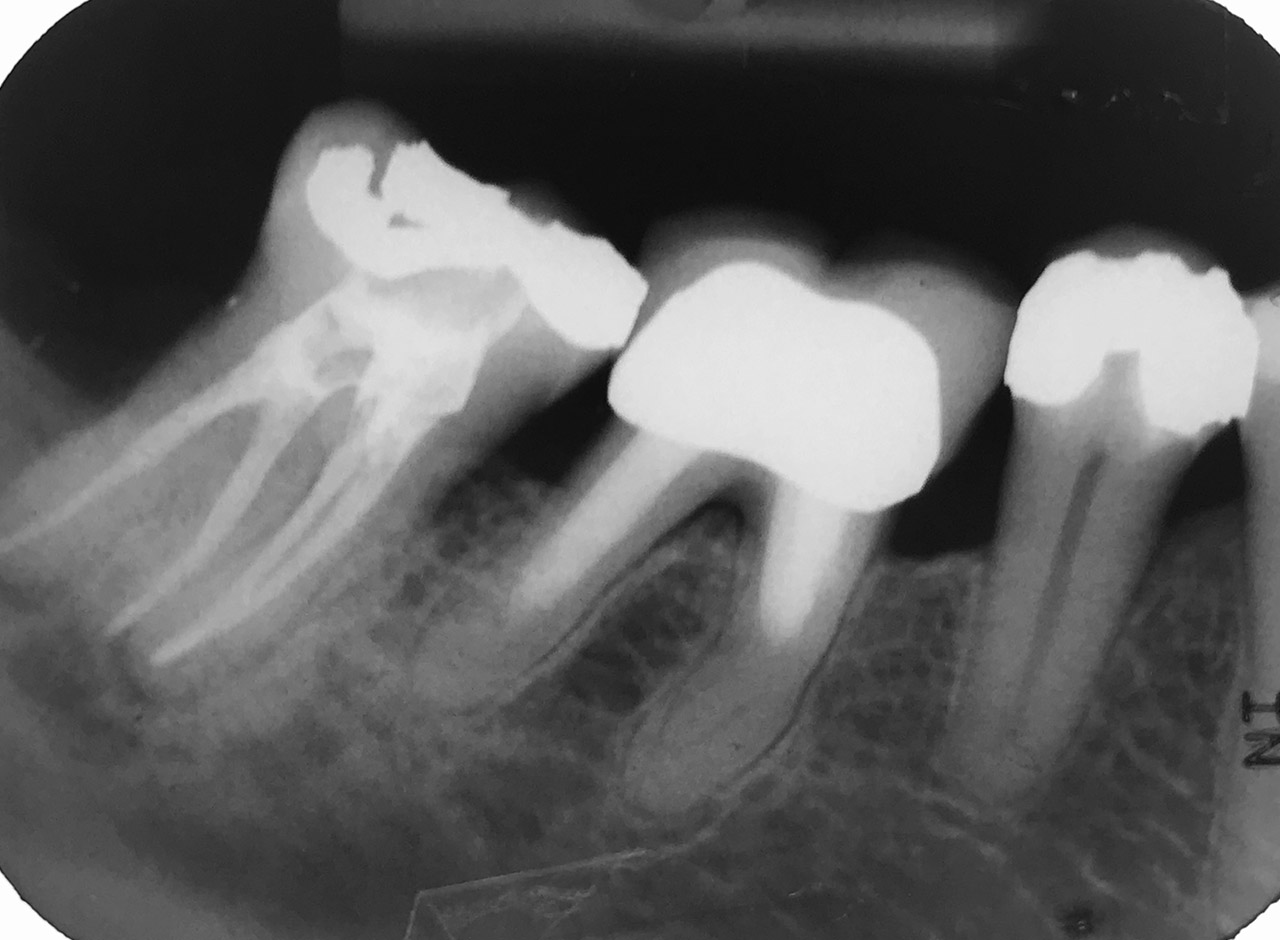
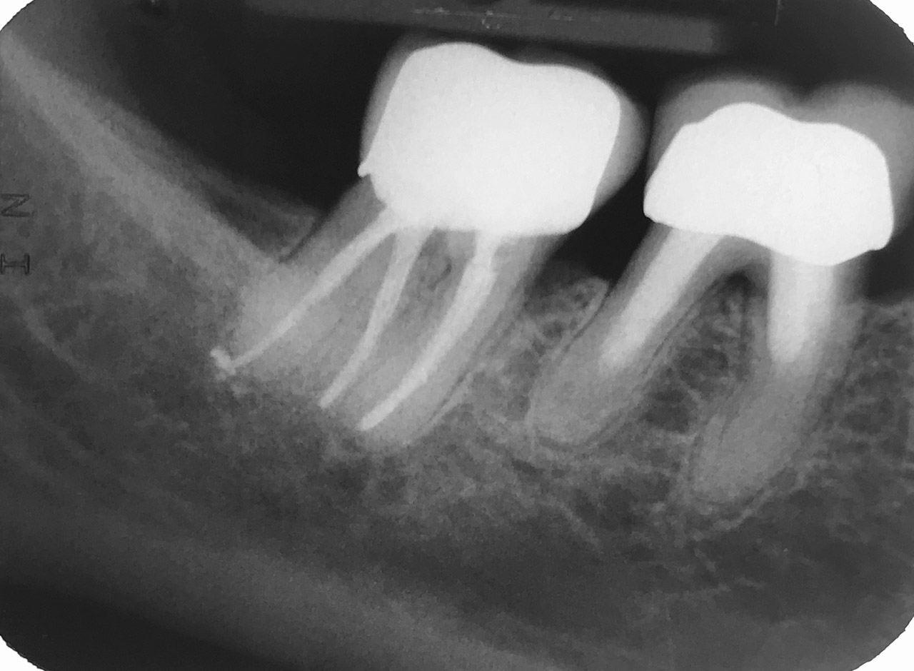
Wurzelbehandlung/Endodontie:

Massiver Paro-/Endodefekt bei den Zähnen 38&37. Extraktion von 38 (Weisheitszahn) und Wurzelbehandlung von 37 (4 Kanäle). Defekt vollständig ausgeheilt.

Wurzelbehandlung 03
Wurzelbehandlung 04
Wurzelbehandlung 05
Wurzelbehandlung 06
Wurzelbehandlung 01

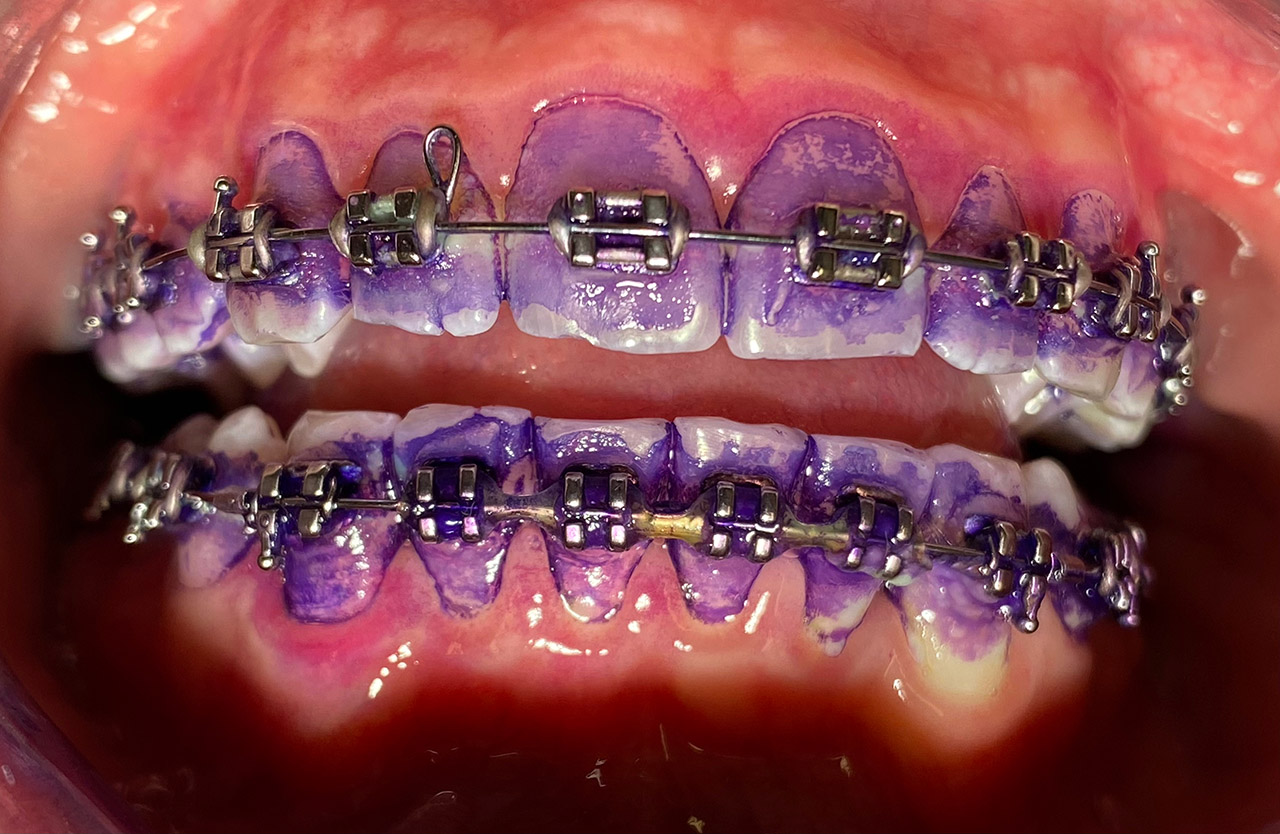
Prophylaxe/professionelle Zahnreinigung:

Zur Motivation, Information und Instruktion einfärben der Beläge (bakterieller Biofilm) bei jungem Patienten in kieferorthopädischer Behandlung. Reinigung der Zähne mit Pulverstrahltechnik minimalinvasiv und zahnschonend und wo noch nötig gezielt mit Ultraschall.
Das Resultat 45 Minuten später.

Prophylaxe/professionelle Zahnreinigung 01
Prophylaxe/professionelle Zahnreinigung 02

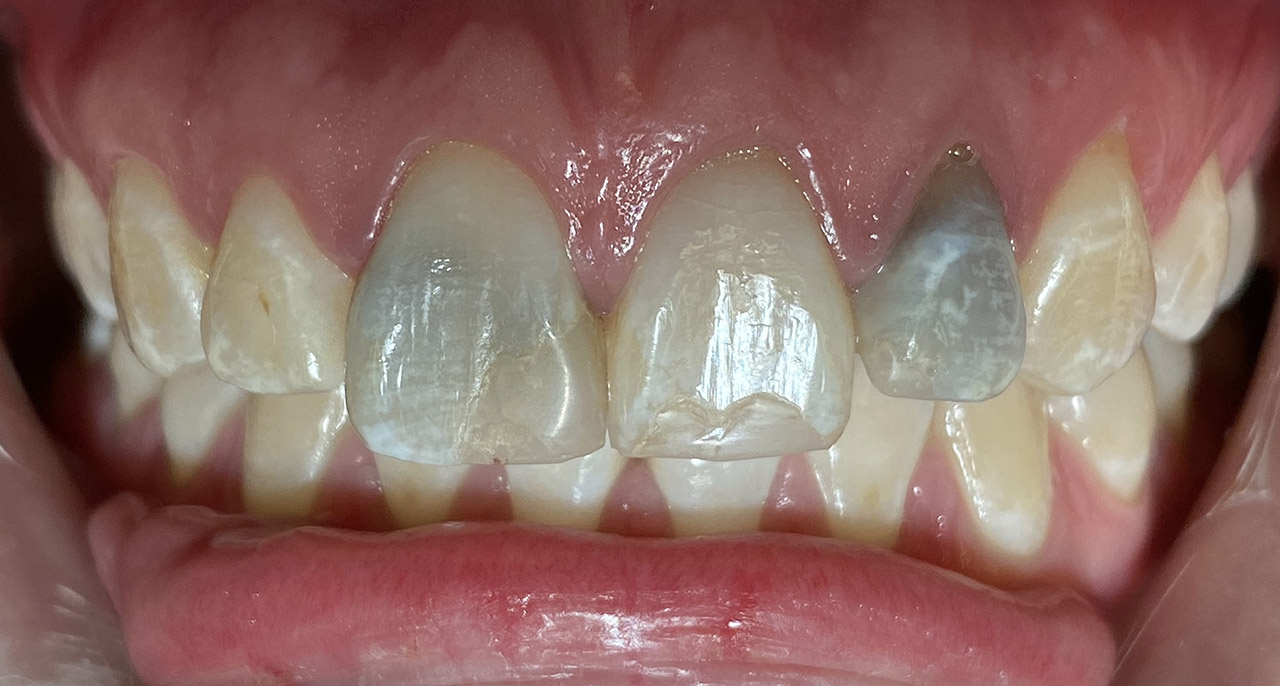
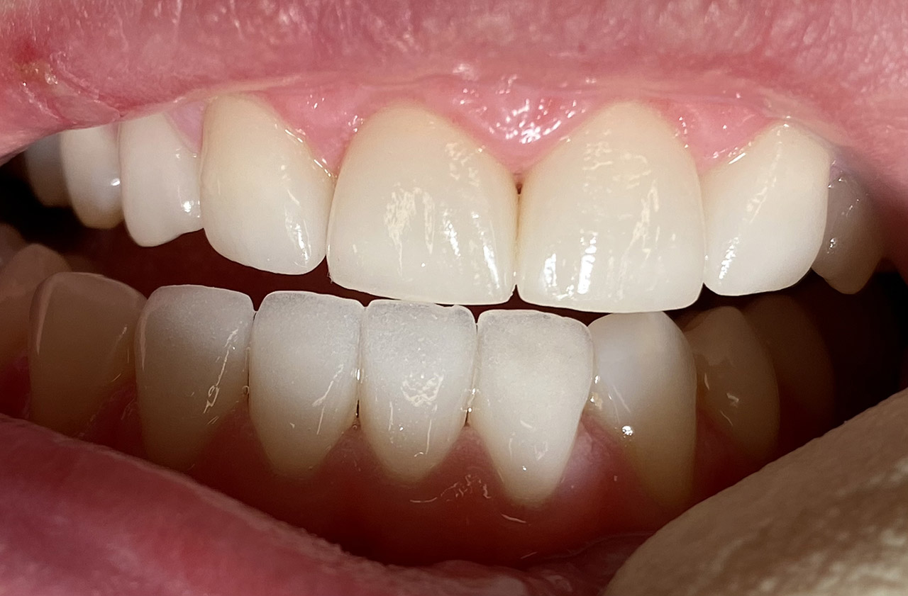
Traumatologie und Endodontie:

Nach Unfall/Sturz mittlerer Schneidezahn auf Gingivaniveau abgebrochen, Pulpa weit eröffnet, beide Nachbarzähne ebenfalls frakturiert.

Erstversorgung: Pulpektomie der Kronenpulpa, MTA, provisorischer Verschluß mit rosa Glasionomerfüllung.
Wiederaufbau der Nachbarzähne mit mitgebrachten (plus 1 Stein) Zahnstücken mit Kunststoff ergänzt und adhäsiv verklebt.

2. Schritt nach Aushärtung von MTA: Entfernung der Kronenpulpa im Bruchstück zur Vermeidung von Verfärbung, Füllung mit Kunststoff.
Adhäsives zementieren des abgebrochenen Zahnstücks.

Traumatologie und Endodontie 01
Traumatologie und Endodontie 02
Traumatologie und Endodontie 03
Traumatologie und Endodontie 04
Traumatologie und Endodontie 05
Traumatologie und Endodontie 06
Traumatologie und Endodontie 07
Traumatologie und Endodontie 08
Traumatologie und Endodontie 09
Traumatologie und Endodontie 10

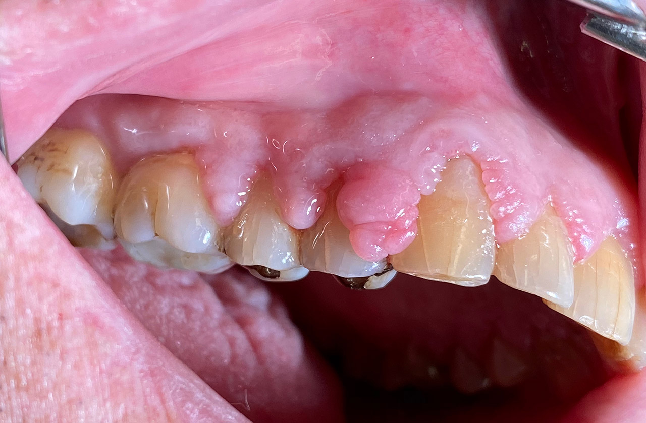
Parodontologie/Gingivahyperplasie:

Diagnose: Gingivahyperplasie durch Medikamente (Blutdrucksenker), unzureichende/nicht mehr mögliche Mundhygiene und überstehende Füllungen.

Therapie: Gingivektomie und anfinieren der Füllungen. Letztes Foto 1 Woche postOP.

Parodontologie/Gingivahyperplasie 01
Parodontologie/Gingivahyperplasie 02
Parodontologie/Gingivahyperplasie 03
Parodontologie/Gingivahyperplasie 04
Parodontologie/Gingivahyperplasie 05
Parodontologie/Gingivahyperplasie 06

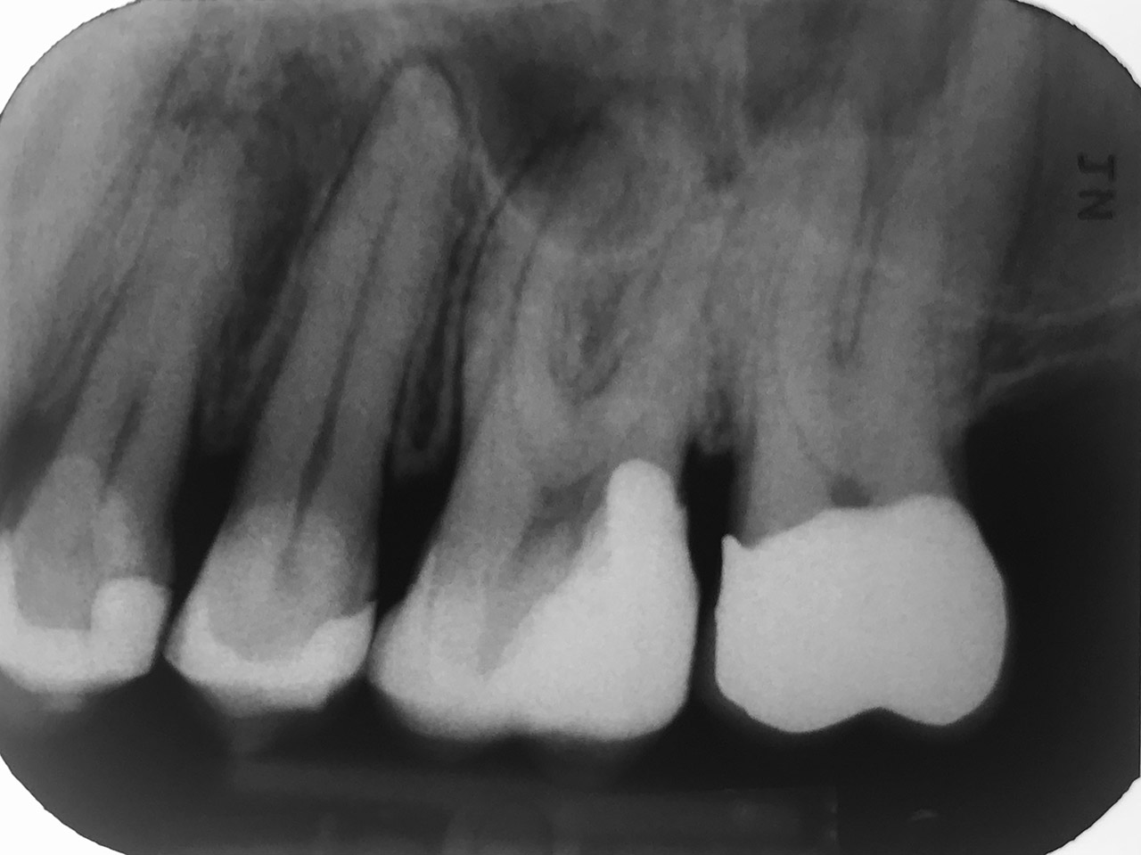
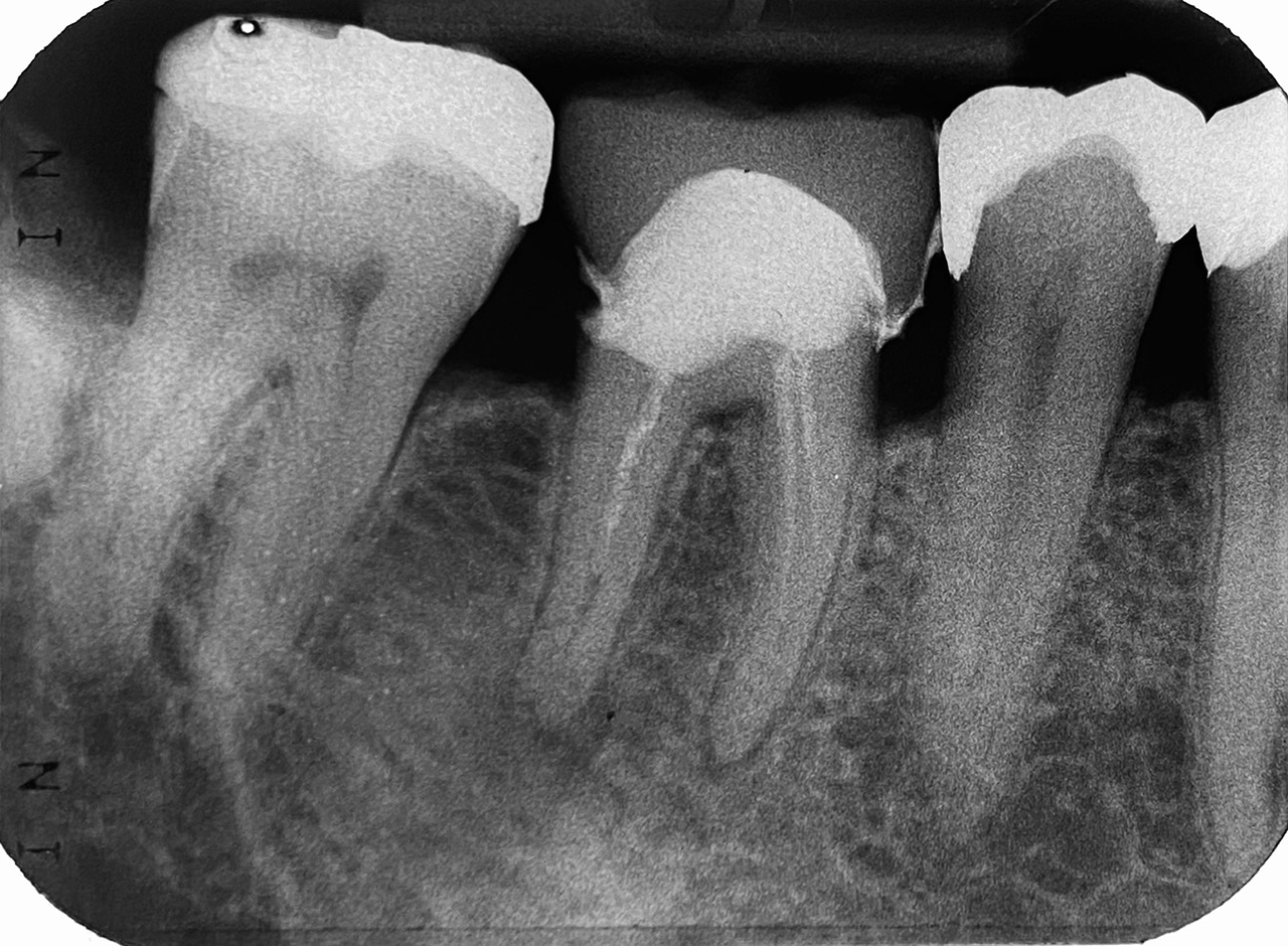
Endodontie/Wurzelbehandlung:

Befund: Aufbißschmerz und Schwellung auf Zahn 46. Frisch zementierte Krone (alio loco).

Therapie: Abnahme der Krone, Entfernung der Zementreste, Revision der insuffizienten Wurzelbehandlung.
Glasfaserstifte und neue Krone, beides adhäsiv zementiert.

Endodontie/Wurzelbehandlung 01
Endodontie/Wurzelbehandlung 02
Endodontie/Wurzelbehandlung 03

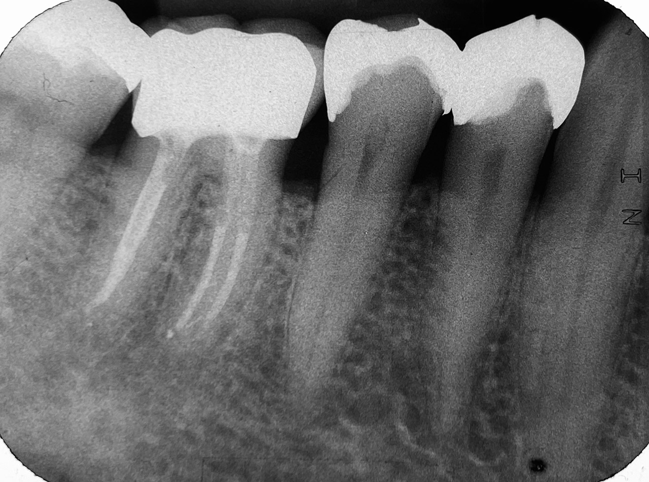
Kariestherapie:

Anamnese: tiefe Karies (Caries profunda) an beiden Oberkiefer 1. Molaren
Therapie: Zahn 16 musste Wurzelbehandelt werden, Zahn 26 konnte vital erhalten werden.
Aufbau beider Zähne in adhäsiv mit Composite/Schichttechnik.

Kariestherapie 01
Kariestherapie 02
Kariestherapie 03
Kariestherapie 04

Fotos&©Christian Senger, Originalfotos mit iPhone, KEIN PhotoShop!